太子町の歯科・歯医者・歯科医院

〒671-1511 兵庫県揖保郡太子町太田667-1 J'sガーデン103
JR「はりま勝原駅」よりタクシー約15分
JR「網干駅」よりタクシー約10分

診療時間
9:00~13:00 休診  ●/▲ 休診
14:00~18:00 休診  ●/▲ 休診

▲訪問 ●外来
休診日:月曜・日曜・祝日
※受付は診療時間の30分前からです。

当院のマウスピース矯正

※自費診療です。

経験豊富な院長による矯正治療

虫歯治療などの一般歯科に比べ、矯正治療はより専門的な知識や技術が必要です。そのため、矯正治療に対する知識や経験が不足していると、どのような治療をすべきか正しく判断できない場合があります。

結果、予定よりも治療期間が延びてしまったり、いつまで経っても矯正治療が終了しなかったりする事態になりかねません。最悪の場合、治療が失敗に終わることだってあるのです。

インビザラインドクターの認定を得ている経験豊富な院長なら、歯並びがキレイに整うまで責任を持ってしっかりと対応可能です。より安心してお任せいただけるのではないでしょうか。

目立たないマウスピース矯正

「歯並びをキレイにしたいけれど、口元の装置が目立つのが嫌だ…」と矯正治療をためらう方もいらっしゃるでしょう。

当院では「マウスピース矯正」という、透明なマウスピースをお口に装着して歯並びを改善する矯正治療を採用しています。金属の装置を使った従来の矯正治療に比べて目立たないので、見た目を気にせず治療できます。

矯正治療していることを人に知られずに歯並びをキレイにしたい方は、ぜひお問合せください。

できるだけ歯を抜かない矯正治療

歯を抜くことに抵抗があり、矯正治療をためらう方は多いのではないでしょうか。そうした方のお悩みに応えるべく、なるべく歯を抜かない「非抜歯矯正」を行っています。

ワイヤーなどを使った一般的な矯正治療では、歯を後ろへ動かすことが困難です。そのため歯をキレイに並べるには、一旦歯を抜いてスペースを作る必要があります。

しかしマウスピース矯正は歯を後ろに動かすのが得意なため、多くのケースで抜歯せずに歯並びを整えられる可能性があります。

もし歯を並べるために十分なスペースが足りない場合は、歯の表面のエナメル質を問題にならない範囲で削ります。そうしてスペースを確保することで、歯を抜かない矯正治療を実現させています。

患者さまの歯やお口の状態に合わせ、なるべく歯を抜かずに歯並びを整える方法をご提案可能です。「矯正治療を考えているが抜歯は嫌だ」「できる限り健康を維持したい」そうお考えの方は、ぜひご相談ください。

※歯並びの状態によっては、抜歯をご提案する場合があります。

綿密な相談とシミュレーション

当院では、マウスピース矯正治療をお考えの方に30~60分程たっぷりの時間をとって相談を行っています。

気になる歯並びの箇所や、どのように改善したいのかをしっかりと伺い、その後、マウスピース矯正の治療方法や流れについてご説明いたします。

また、お口の中をスキャンする機器を使い、治療後の歯並びを事前にシミュレーションすることが可能です。治療後のイメージをお見せしながら分かりやすくご説明するので、治療を迷っている方にとっては意思決定の指針となりやすいでしょう。

矯正相談やシミュレーション、検査などを受けたからといって、必ず矯正治療を受けなければいけないわけではありません。お気軽にご来院いただきたいと思います。

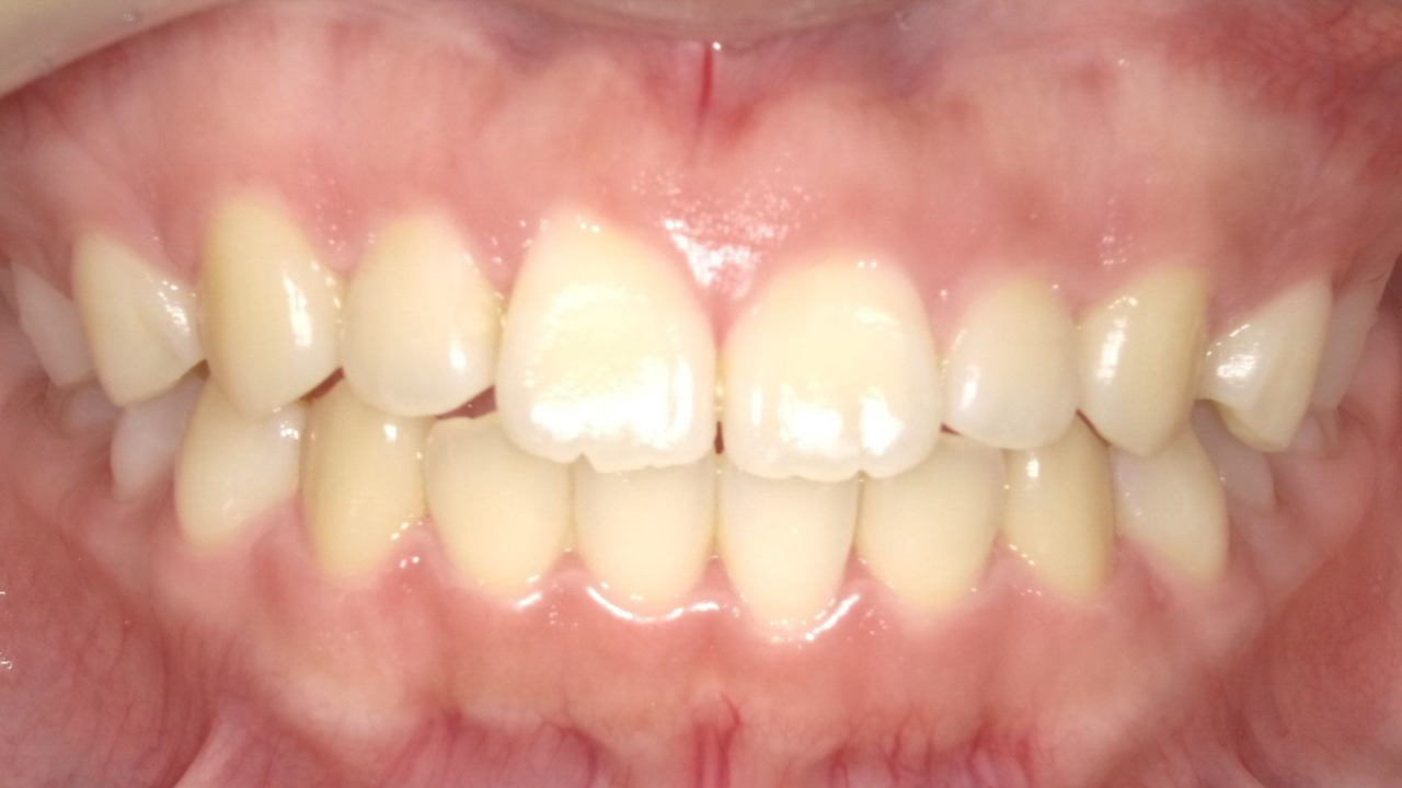
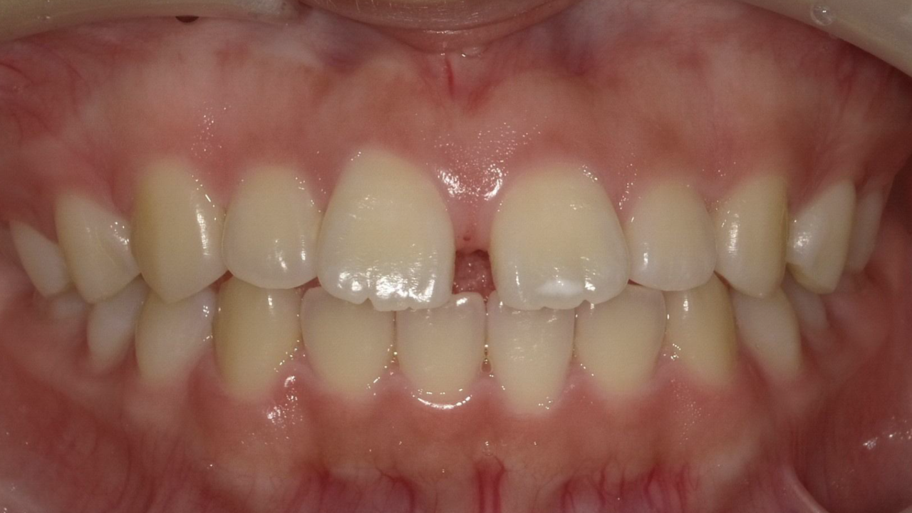
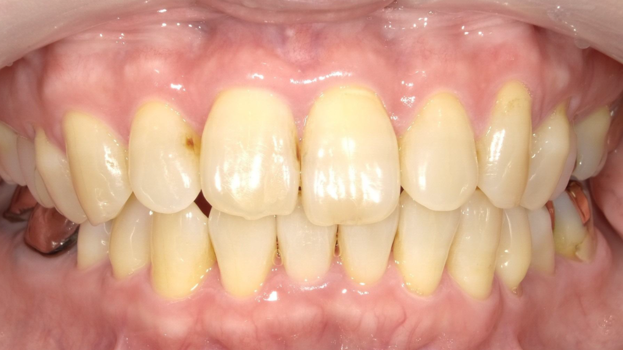
K・H様 女性 20代

Before

After

前歯に隙間がある「すきっ歯」と唇を閉じた時に前歯が見えることが気になっており、歯並び治療を希望され来院されました。矯正治療を開始後、歯の色も白くしたいと希望され、ホワイトニングも並行して行いました。治療後、歯並び、歯の色が綺麗になるだけではなく、顎のずれ、顔のゆがみも改善したと大変満足いただきました。

抜歯の有無:非抜歯
治療期間・回数:6か月、8回
治療の価格:マウスピース矯正 450,000 円(別途再診料3,300円かかります。)
ホワイトニング 33,000 円
治療のリスクや副作用:紛失の可能性がある。装着時間が短いと歯が動かないため、自己管理が求められる。保険適応外である。歯を移動させるスペースを確保するために、歯と歯の間のエナメル質を削る場合もある。

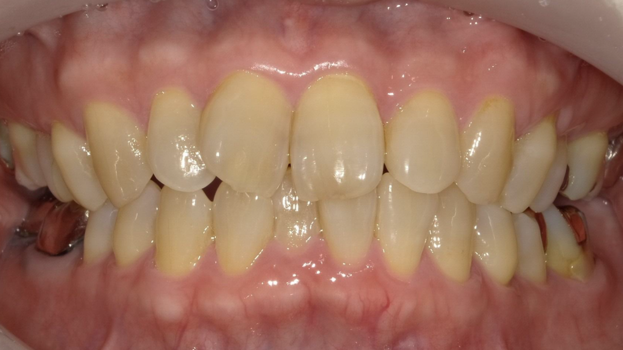
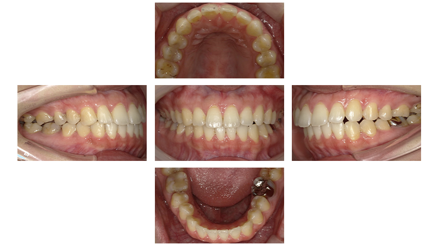
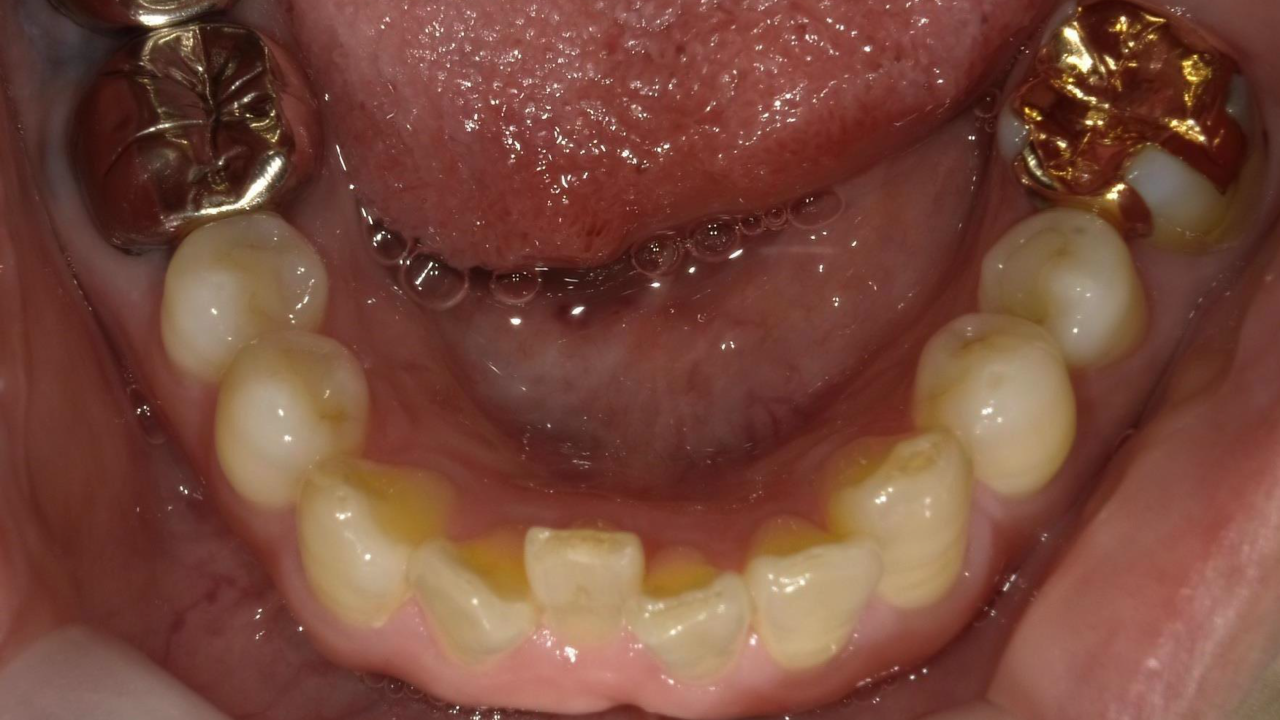
S・T様 女性 50代

Before

After

以前から前歯1本が奥に入っている、歯並びががたがたしていることが気になっていましたが、年齢的に矯正ができるのか相談のため来院されました。 年齢問わず矯正治療が可能であることをご説明したところ矯正治療を希望されました。治療後、歯並びが綺麗になり、毎日のブラッシングがとてもやり易くなったと喜ばれていました。

抜歯の有無:非抜歯
治療期間・回数:6か月、6回
治療の価格:マウスピース矯正 450,000 円(別途再診料3,300円かかります。)
治療のリスクや副作用:紛失の可能性がある。装着時間が短いと歯が動かないため、自己管理が求められる。保険適応外である。歯を移動させるスペースを確保するために、歯と歯の間のエナメル質を削る場合もある。

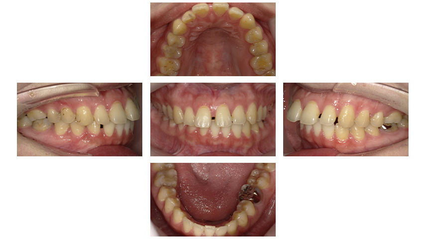
Y・F様 女性 10代

Before

After

前歯に隙間がある「すきっ歯」が気になっており、歯並び治療を希望され来院され矯正治療を開始しました。 治療後、隙間が気にならなくなり自信も持てたと満足いただきました。

抜歯の有無:非抜歯
治療期間・回数:3か月、5回
治療の価格:マウスピース矯正 198,000 円(別途再診料3,300円かかります。)
治療のリスクや副作用:紛失の可能性がある。装着時間が短いと歯が動かないため、自己管理が求められる。保険適応外である。歯を移動させるスペースを確保するために、歯と歯の間のエナメル質を削る場合もある。

マウスピース矯正

「インビザライン」「キレイライン」という透明なマウスピース型の装置で行う矯正治療です。

従来のような金具やワイヤーがないため、近くで見てもマウスピースが入っていると分かりにくく、矯正治療をしていることが気づかれにくい特徴があります。

費用 198,000~650,000円

治療の期間・回数:2.5か月~7か月、5~10回
リスクや副作用:歯磨き等のセルフケアを怠ると虫歯や歯周病のリスクが高くなります。装着時間を守らないと計画通りに歯が動かない、治療期間が延びる場合があります。矯正治療が完了した後は後戻りを防ぐために保定装置を装着します。保定装置を正しく使用しないと再度矯正治療が必要になる可能性があります。歯とあごのバランスによってはご自身の歯を削る場合があります(削る量は個人差があります)。まれに歯の根が短くなる可能性があります。装置装着後、痛みを感じることがあります(歯が動く正常な反応なので心配ありません)。頬の粘膜・唇・舌などに、口内炎ができることがあります。歯周病等で歯茎が下がっている方は、歯を動かすことでさらに歯茎が下がる可能性があります。重なっていた歯がきれいに並んだことで歯茎と両隣の歯との間に三角形の隙間ができる可能性があります。

注意事項:
【医薬品医療機器等法(薬機法)において現在未承認の医療機器を用いた治療について】当院では、マウスピース型カスタムメイド矯正装置(製品名:インビザライン)による矯正治療をご提供しております。矯正治療を受ける際には、以下の点をご了承ください。

●未承認医療機器の使用
マウスピース型カスタムメイド矯正装置の材料は厚生労働省の認可を得たものですが、当院で使用しているインビザラインは完成物薬機法対象外の矯正装置です。医薬品医療機器等法(薬機法)の承認を得ておりませんので、医薬品副作用被害救済制度の対象外となる場合があります。

●入手経路
マウスピース型矯正システム「インビザライン」は米国のアライン・テクノロジー社の製品です。当院はインビザライン・ジャパン株式会社を通じて利用・入手しております。

●国内の類似する承認医療機器の有無
当院が使用するマウスピース型カスタムメイド矯正装置以外に、複数のシステムが開発されています。また、その中には日本で承認を得ている矯正装置も存在します。

●諸外国における安全性等に係る情報
インビザラインは、全世界で1,800万人以上(※)の症例数を持っています。1998年に米国食品医薬品局(FDA)の承認を得ており、現在まででインビザライン固有の重篤な副作用の報告はありません。

※2025年現在

※金額は税込み表記です。

矯正歯科の流れ

ご相談

歯並びや噛み合わせについて、気になることを何でもご相談ください。矯正治療について大まかな説明をいたします。

精密検査

レントゲン撮影、歯型の採取、噛み合わせの確認など、診断のための検査を行います。

治療計画の説明

検査結果をご説明し、治療計画をご案内します。

治療・通院

治療計画にご納得いただけましたら、治療を開始します。

治療後の観察

歯並びが整ったら、保定装置(リテーナー)をつけていただきながら、経過観察を行います。

検診・歯石とり・歯のクリーニング・フッ素塗布などもご予約いただけます。3か月先のご予約もお気軽にどうぞ。

079-277-0088

診療時間

 
午前 休診  ●/▲ 休診
午後 休診  ●/▲ 休診

午前:9:00~13:00
午後:14:00~18:00
▲訪問 ●外来

※受付は診療時間の30分前からです。
休診日:月曜・日曜・祝日

アクセス

079-277-0088

〒671-1511
兵庫県揖保郡太子町太田667-1 J'sガーデン103
JR「はりま勝原駅」よりタクシー約15分
JR「網干駅」よりタクシー約10分