太子町の歯科・歯医者・歯科医院

〒671-1511 兵庫県揖保郡太子町太田667-1 J'sガーデン103
JR「はりま勝原駅」よりタクシー約15分
JR「網干駅」よりタクシー約10分

診療時間
9:00~13:00 休診  ●/▲ 休診
14:00~18:00 休診  ●/▲ 休診

▲訪問 ●外来
休診日:月曜・日曜・祝日
※受付は診療時間の30分前からです。

当院の入れ歯の治療

経験豊富な歯科医師が担当

「入れ歯が痛くて食事が楽しめない」「すぐに外れてしまう」といったお悩みをお持ちではありませんか?実は入れ歯治療は、技術の良し悪しに「経験」が強く影響する分野です。

土地柄、ご高齢の患者さまが多く来院される当院では、数多くの入れ歯治療を手がけてきました。歯科医師は入れ歯治療で10年以上(※)の経験を有しており、部分入れ歯から総入れ歯まで幅広い症例に対応。保険適用の入れ歯はもちろん、審美性と機能性に優れた自費診療の入れ歯作りも豊富に行ってきた実績があります。

多くの症例を重ねていくうちに、「こんなお口の状態の時は、こうした対処をすれば噛める入れ歯ができる」といったセオリーが見えてくるもの。10年以上(※)の経験によって培われた入れ歯治療の勘所があるからこそ、噛みやすく痛みが出にくい、外れにくい入れ歯をお作りできます。

※2025年現在

自費診療で快適な入れ歯を

保険診療でも噛みやすい入れ歯をお作りできますが、どうしても限界があるのは事実です。特別に硬いものでなければ食事はとれますが、タコの刺身や漬物となると難しいのが保険診療の入れ歯。一方、自費診療の入れ歯なら、これらの食べ物も楽しめるくらいに噛みやすい仕上がりとなります。

自費診療では、保険診療のような細かなルールに縛られることがありません。治療法も材料も、患者さまのご希望に合わせて最良と考えられるものを使えます。そのため入れ歯を薄く作って快適な装着感を実現したり、天然の歯や歯茎に近い見た目の材料を採用したり、部分入れ歯の金具をなくしたりすることが可能です。

私たちは、自費診療ではほとんどの場合「個人トレー」と呼ばれる型どり用の道具を使用。患者さまのお口に合わせてオーダーメイドで作ったトレーなので、既製品のトレーを使った場合に比べ、より精密な型をとることが可能になります。また型どり材は、変形しにくいシリコン製を使うことで、歯や歯茎の細かな形まで精密に再現していきます。

このように、保険診療が「最低限の治療」であるのに対し、自費診療では「最良の治療」を目指すことが可能です。

患者さまに合う入れ歯をご提案

「入れ歯にはどんな種類があるの?」「自分にはどれが向いているのだろう?」といった疑問をお持ちの方は多いのではないでしょうか。

入れ歯治療では、患者さま一人ひとりのご希望や生活習慣に合わせて、より適切な方法を選ぶことが何より大切です。

当院では、保険診療の入れ歯から、より快適で見た目が自然な自費診療の入れ歯まで、幅広い選択肢をご用意しています。治療を始める前には丁寧なカウンセリングを行い、噛みやすさや見た目、装着感に対するご要望をしっかりと伺います。

その上で、それぞれの特徴や長所・短所をわかりやすくお伝えし、患者さまのご希望や予算に最も適した方法をご提案。保険か自費かを選択していただけるだけでなく、十分にご理解・ご納得いただいてから治療を受けていただけるよう配慮しています。

一人ひとりに合った入れ歯を提供できる体制を整えていますので、ご自分に本当に合う入れ歯をお求めの方は、ぜひご相談ください。

入れ歯作製が得意な技工所と提携

入れ歯や詰め物・被せ物は、歯科技工士という専門家が歯科技工所で作製しており、技工所にはそれぞれ得意分野があります。入れ歯が得意なところもあれば、詰め物や被せ物が得意なところもあり、この「得意分野」と「技術力」によって入れ歯の質は大きく左右されるのです。

私たちは、入れ歯作製が得意で実績豊富な歯科技工所に依頼し、患者さまにご満足いただける品質を目指して入れ歯をお作りしています。歯科技工士は、歯科医師と並ぶもう一人の入れ歯の専門家。確かな技術力を持つ技工所と提携することで、快適な入れ歯を追求しています。

顔写真を確認して、顔立ちに合った入れ歯を作製

症例により、患者さまの顔写真やお口の写真を撮影し、入れ歯を作製する歯科技工士がその写真を確認しています。

技工士がお顔全体のバランスも考慮しながら作製できるため、一人ひとりの顔立ちに合った、より自然な入れ歯をお作りできます。

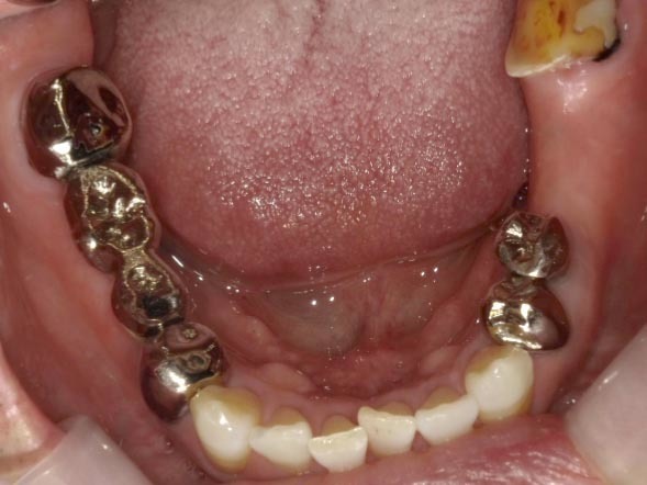
N.M.様 男性 60代

Before

After

「左下の奥歯が尖っていて舌に当たって痛い」「奥歯で噛めるようにしてほしいが、歯を抜きたくないため、歯を保存した治療を希望している」という主訴で来院されました。

尖っている歯は形を整え、根だけ残した状態(残根上の入れ歯)としました。入れ歯は、金属アレルギーが極力ない、薄くて違和感の少ない入れ歯を希望されていたため、チタン床の入れ歯で治療を進めました。

治療後は違和感も少なく、しゃべりやすく、食事の温度も感じて美味しく食べられるとのことで、大変喜ばれていました。

治療期間・回数:4か月、8回
治療の価格:チタン床 ¥418,000 (上部構造含む)
治療のリスクや副作用:保険適応外。プラスチックの入れ歯に比べると、金属でできた金属床は相当に硬いため、入れ歯作りにきわめて高度なスキルと豊富な経験求められ、調整がやや困難です。当院では、一流の歯科技工士に制作を依頼しています。

金属床義歯

金属床義歯は、入れ歯の土台となる床(しょう:歯茎に接する部分)が金属でできている入れ歯です。床が薄いため装着時の違和感が少なく、食べ物の温度を感じやすい特徴があります。自然で快適な装着感が得られ、耐久性があるのもメリットです。

チタン 370,000円
コバルト・クロム合金 270,000円
ゴールド 750,000円

治療の期間・回数:1か月、5~6回
リスクや副作用:破損した場合、修理に時間がかかる可能性があります。金属の種類によってはアレルギーがでる可能性があります。加齢によるお口の中の変化により、定期的に調整が必要になる可能性があります。

ノンクラスプデンチャー

金属のクラスプ(入れ歯の留め具)を使用しない部分入れ歯です。入れ歯と気づかれにくく、自然な見た目を実現できます。弾性のある素材で、残った歯への負担が少ないのも特徴です。

少数歯 200,000円
多数歯 250,000円

治療の期間・回数:1か月、5~6回
リスクや副作用:強い力をかけると割れる(欠ける)可能性があります。耐久性がやや劣るため、数年後に再作製が必要になる可能性があります。

金属で補強したノンクラスプデンチャー

クラスプを使用しない部分入れ歯「ノンクラスプデンチャー」を、金属で補強した入れ歯です。金属は外から見えない部分に使用しているため目立ちません。通常のノンクラスプデンチャーよりも強度が高く、長持ちしやすいという特徴があります。

チタン 420,000円
コバルト・クロム合金 320,000円

治療の期間・回数:1か月、5~6回
リスクや副作用:強い力をかけると割れる(欠ける)可能性があります。金属の種類によってはアレルギーが出る可能性があります。加齢によるお口の中の変化により、定期的に調整が必要になる可能性があります。

※金額は税込み表記です。

入れ歯治療の流れ

現在使用中の入れ歯の調整

使用中の入れ歯がある場合は、調整します。

お口の中の検査

お口の中を検査します。

説明

お口がどんな状態なのかをご説明し、治療計画をご案内します。

治療

あごの形や頬の動きを確認し、入れ歯をつくるための「型取り」を行います。

歯科技工所での入れ歯作製

型取りしたデータをもとに、歯科技工所で入れ歯をつくります。

入れ歯の完成

完成した入れ歯をお渡しし、使い方やお手入れの方法をご案内します。

検診・歯石とり・歯のクリーニング・フッ素塗布などもご予約いただけます。3か月先のご予約もお気軽にどうぞ。

079-277-0088

診療時間

 
午前 休診  ●/▲ 休診
午後 休診  ●/▲ 休診

午前:9:00~13:00
午後:14:00~18:00
▲訪問 ●外来

※受付は診療時間の30分前からです。
休診日:月曜・日曜・祝日

アクセス

079-277-0088

〒671-1511
兵庫県揖保郡太子町太田667-1 J'sガーデン103
JR「はりま勝原駅」よりタクシー約15分
JR「網干駅」よりタクシー約10分