太子町の歯科・歯医者・歯科医院

〒671-1511 兵庫県揖保郡太子町太田667-1 J'sガーデン103
JR「はりま勝原駅」よりタクシー約15分
JR「網干駅」よりタクシー約10分

診療時間
9:00~13:00 休診  ●/▲ 休診
14:00~18:00 休診  ●/▲ 休診

▲訪問 ●外来
休診日:月曜・日曜・祝日
※受付は診療時間の30分前からです。

当院のインプラント治療

※自費診療です。

口腔外科専門医による
インプラント治療

インプラント治療は外科手術を伴う高度な治療です。インプラントを埋め込むあごの骨の周辺には重要な血管や神経があり、こうした組織を傷つけることなく手術を成功させるには、高い技術や豊富な経験を持つ歯科医師が担当するのが望ましいでしょう。

インプラントをはじめとした、お口の中の外科的な手術を行う専門の診療科が「口腔外科」です。当院の院長は、口腔外科の専門資格である日本口腔外科学会認定「口腔外科専門医」の資格を持っています。この資格は、学会に治療技術や知識、実績を認められた歯科医師だけが取得できるものです。

このように、専門的な知識と技術を持つ歯科医師が、高度な技術が求められるインプラント治療を担当いたします。

静脈内鎮静法で
痛みや恐怖心を軽減

インプラントは手術が必要な治療です。そのため手術の痛みだけでなく、手術すること自体への恐怖を感じる患者さまも少なくないでしょう。

そこで当院では「静脈内鎮静法」という点滴麻酔を行っています。この麻酔をかけると、ウトウトとうたた寝をしているような状態になり、寝ている間に手術が終わります。恐怖心や痛みをほとんど感じることはありません。

日本歯科麻酔学会「認定医」が
麻酔を担当

静脈内鎮静や笑気麻酔は、日本歯科麻酔学会「認定医」の資格を持つ院長が行います。

この資格は、歯科治療における全身管理や救急処置に関する知識・技能を積極的に学んでいる歯科医師や医師に対して、日本歯科麻酔学会が認定するものです。

麻酔への深い知識と豊富な経験を持つ院長が対応しますので、より安心して治療をお受けいただけるかと思います。

信頼度の高い
インプラントシステムを採用

あごの骨に埋め込む人工の歯の根であるインプラントは、世界中のメーカーが製造販売しており、価格も品質も製品によってまちまちです。

インプラントは患者さまのお身体(骨の中)に埋め込む器具であるため、その品質にもこだわる必要があります。当院では信頼できる「ストローマン社」を採用。豊富に臨床実績があり、採用する国は70か国以上という世界的なシェアを有するインプラントシステムです。

インプラント周囲炎や脱落などのトラブルが少ないといわれており、実績ある品質のインプラントを入れていただけます。

安全なインプラント手術
のための綿密な検査

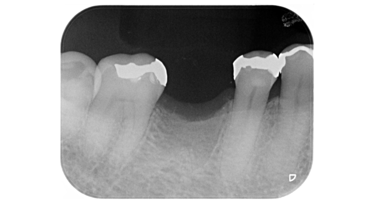
インプラント治療は外科手術を伴います。誤って神経や血管を傷つけると重大な事故につながることもあるため、普通の歯科治療に比べて綿密な検査と治療計画が必要です。

そこで当院では、より正確で安全なインプラント手術を行うために、CT検査とシミュレーションソフトによる検査を行っています。まずCTによる検査で、あごの骨の厚みや高さ、神経や血管の位置を把握。次に専用のソフトを用いて、インプラントを埋め込む位置や方向などのシミュレーションを行います。

その後、シミュレーションデータをもとに「サージカルガイド」と呼ばれる装置を作製。これらの検査やシミュレーションは、患者さまにも一緒にご確認いただくようにしています。

綿密な検査を行い、シミュレーションソフトを使いながら治療計画を立てることで、手術中の重大な事故を防ぎ安全に治療ができるよう努めているのです。

※CT検査は他院で行っていただきます。

院内感染対策を徹底した
治療環境

院内感染は主に治療に使用する道具が細菌に汚染されている場合に起こります。

そのため、歯科医師や歯科衛生士が使うグローブ・マスク・ガウン・治療器具を置くトレー等、使い捨てにできる道具はなるべく使い捨てにし、他の患者さまに使いまわすことはいたしません。

使い捨てにできない治療器具は、汚染の原因となる血液や唾液をしっかりと洗い流して、消毒・滅菌を徹底しています。

また、当院は全室が完全な個室となっており、個室で手術を行うことで空気中の汚染物質の侵入を遮断。インプラント治療中に院内感染を起こさないよう、対策を徹底しています。

メインテナンスと予防で
インプラントが長持ち

インプラント治療は、残っている歯を傷つけず失った歯の機能を取り戻せる治療法です。自然な噛み合わせのバランスを維持しやすく、他の歯に負担をかけません。

しかしどんなに優れた治療法でも、虫歯や歯周病などの歯を失ってしまった原因を取り除かなければ、残っている歯も同様に失ってしまう可能性が高いでしょう。

虫歯や歯周病の予防が十分でないと歯を失い続けることになり、生涯にわたって延々とインプラントの治療が続いてしまいかねません。こうした事態を避けるには、メインテナンスと予防歯科が重要です。当院では、インプラントを長く快適に使っていただくために、メインテナンスと予防歯科に力を入れています。

また、患者さまご自身による日々のケアも欠かせません。ご自宅での清掃が不十分だと、インプラント周囲炎(歯周病のような病気)や他の歯の虫歯・歯周病につながる恐れがあります。

治療後も一緒にお口の健康を守っていきましょう。

3年間の保証で
安心のインプラント治療

インプラント治療は健康保険が使えず自費診療であるため、どうしても治療費が高額になりがちです。「高い費用を支払ってもすぐにダメになったら…」と、心配される患者さまも多くいらっしゃるでしょう。

当院は、インプラント本体と上部構造(被せ物)に対して3年間の保証をおつけしています。装着から3年以内に破損・脱落などが発生した場合は、再治療にかかる費用を当院が全額負担いたします。

保証があれば何かあったときも安心ではないでしょうか。保証をおつけできるのは、当院の自信の表れでもあります。ご満足いただける治療という自負があるからこそ、責任を持って保証をおつけしています。

※保証は、当院で定期的にメインテナンスを受けている方のみが対象です。

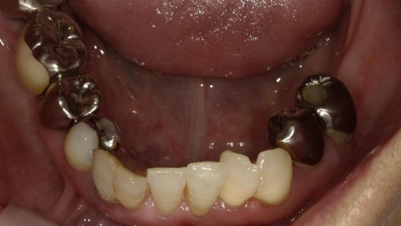
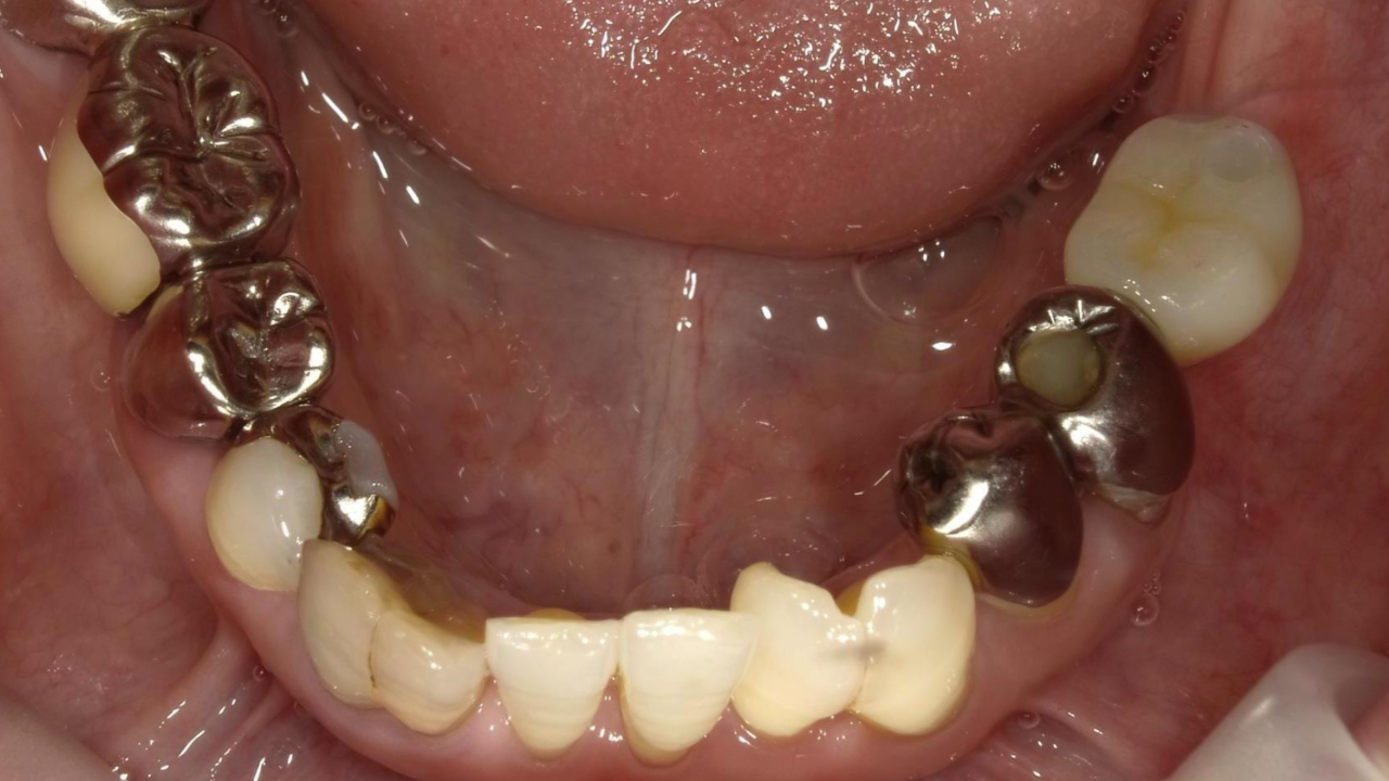
Y・F様 女性 70代

Before

After

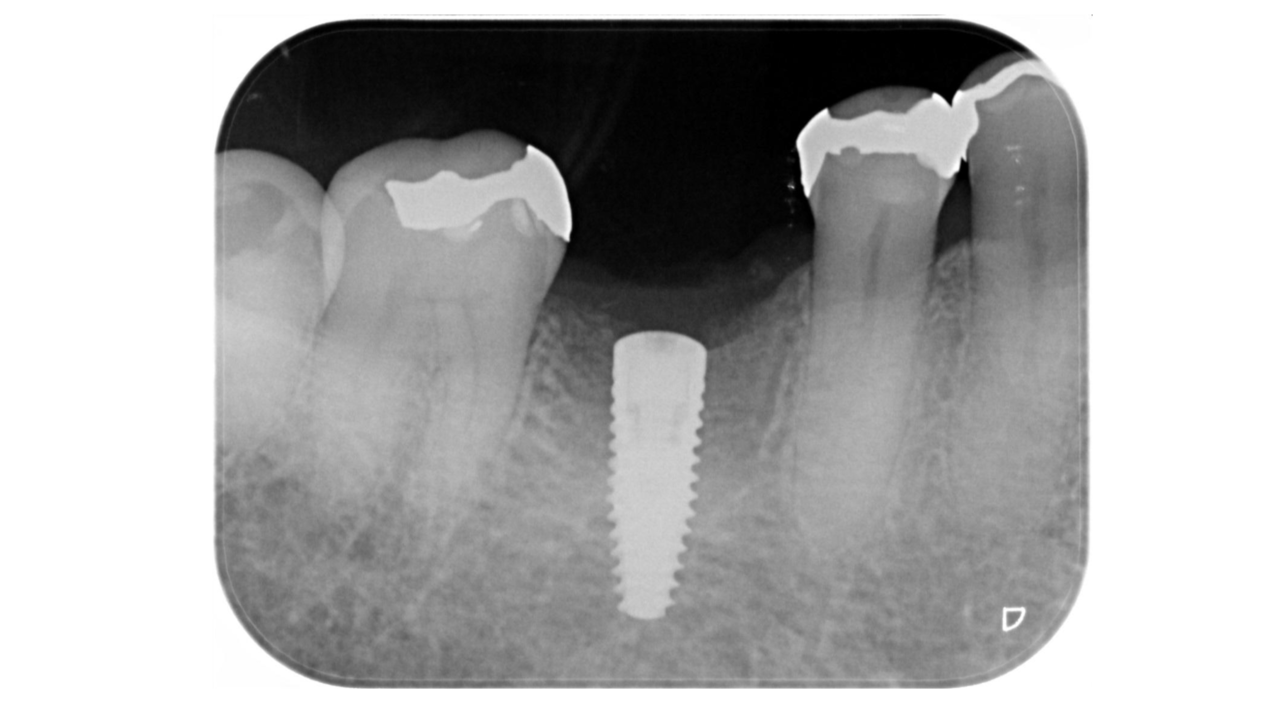
以前から左下奥歯がなく硬いものが噛めず、かみ合わせが不安定なため、欠損部にインプラント治療を希望され、治療を開始。治療後、奥歯でしっかり噛めるようになり、食事も美味しく食べれるようになったと満足されていました。

治療期間・回数:7か月、10回
治療の価格:インプラント治療  550,000円 (上部構造含む)
治療のリスクや副作用:手術後に、痛みや腫れ、出血、合併症などを引き起こす可能性があります。噛む感覚がご自身の歯と異なる場合があります。見た目がご自身の歯と異なる場合があります。手術後にメインテナンスを継続しないと、インプラントが脱落するリスクがあります。

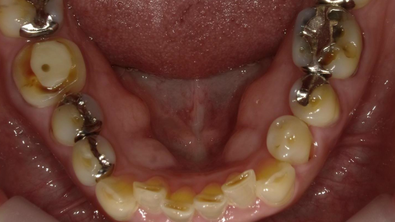
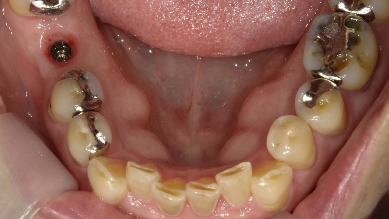
N・H様 女性 70代

Before

After

右下奥歯が噛むと痛くなり、来院されました。レントゲンで歯の根が破折しており、抜歯となりました。抜歯後にインプラント治療を希望され治療を開始。治療後、違和感もなく奥歯で何でも食べれるようになったと満足されていました。

治療期間・回数:11か月、18回
治療の価格:インプラント治療  550,000円 (上部構造含む)

治療のリスクや副作用:手術後に、痛みや腫れ、出血、合併症などを引き起こす可能性があります。噛む感覚がご自身の歯と異なる場合があります。見た目がご自身の歯と異なる場合があります。手術後にメインテナンスを継続しないと、インプラントが脱落するリスクがあります。

インプラント埋入

失われた歯のあごの骨に、チタン製の人工の歯根(しこん:歯の根。インプラント体とも)を埋め込む手術です。最終的には人工の歯(被せ物)を被せ、しっかりと噛めるようにします。

費用 297,000円

治療の期間・回数:4~5か月、7回
リスクや副作用:手術後に、痛みや腫れ、出血、合併症などを引き起こす可能性があります。噛む感覚がご自身の歯と異なる場合があります。見た目がご自身の歯と異なる場合があります。手術後にメインテナンスを継続しないと、インプラントが抜け落ちる可能性があります。

2次手術

インプラント治療では、人工歯根(しこん:歯の根。インプラント体とも)をあごの骨に埋め込む「1次手術」を行った後、骨としっかり結合するまで数か月の期間を設けます。その後に実施するのが「2次手術」です。

2次手術では、歯茎をわずかに切開し、埋め込んだしたインプラント体の上に「アバットメント」と呼ばれる土台パーツを装着する処置を行います。

費用 55,000円

治療の期間・回数:2週間、2回
リスクや副作用:手術後に、痛みや腫れ、出血、合併症などを引き起こす可能性があります。噛む感覚がご自身の歯と異なる場合があります。見た目がご自身の歯と異なる場合があります。手術後にメインテナンスを継続しないと、インプラントが抜け落ちる可能性があります。

上部構造作製・装着

上部構造とは、手術によって埋め込んだインプラント本体の上部に装着する被せ物のことです。被せ物の素材は、ジルコニア、オールセラミック、メタルボンドなどです。奥歯の場合は強度が優れている素材を選び、前歯の場合はより審美性が良い素材を選ぶなど、患者さまのお口の状況に合わせた被せ物を作製・装着します。

費用 115,500~137,000円

治療の期間・回数:3週間、3回
リスクや副作用:強い力をかけると割れる(欠ける)可能性があります。噛む感覚がご自身の歯と異なる場合があります。見た目がご自身の歯と異なる場合があります。手術後にメインテナンスを継続しないと、インプラントが抜け落ちる可能性があります。

※金額は税込み表記です。

インプラント治療の流れ

検査

検査器具やレントゲン、CTで、歯やあごの骨の状態を調べます。

治療計画の説明

歯やあごの骨など、お口がどんな状態なのかをご説明し、治療計画をご案内します。

手術

インプラント本体をあごの骨に埋め込みます。

人工の歯を装着

インプラント本体の上に人工の歯を装着します。

メインテナンス

インプラントを長持ちさせるために、定期検診や歯のクリーニングを受けることをおすすめします。

検診・歯石とり・歯のクリーニング・フッ素塗布などもご予約いただけます。3か月先のご予約もお気軽にどうぞ。

079-277-0088

診療時間

 
午前 休診  ●/▲ 休診
午後 休診  ●/▲ 休診

午前:9:00~13:00
午後:14:00~18:00
▲訪問 ●外来

※受付は診療時間の30分前からです。
休診日:月曜・日曜・祝日

アクセス

079-277-0088

〒671-1511
兵庫県揖保郡太子町太田667-1 J'sガーデン103
JR「はりま勝原駅」よりタクシー約15分
JR「網干駅」よりタクシー約10分