太子町の歯科・歯医者・歯科医院

〒671-1511 兵庫県揖保郡太子町太田667-1 J'sガーデン103
JR「はりま勝原駅」よりタクシー約15分
JR「網干駅」よりタクシー約10分

診療時間
9:00~13:00 休診  ●/▲ 休診
14:00~18:00 休診  ●/▲ 休診

▲訪問 ●外来
休診日:月曜・日曜・祝日
※受付は診療時間の30分前からです。

当院の虫歯治療

痛みの少ない虫歯治療を実現

治療中の痛みを軽減するには麻酔が有効ですが、この麻酔注射自体が痛いという人は少なくありません。

当院は、痛みが苦手で歯科の受診をためらっている患者さまを一人でも多く救いたいと考えています。

表面麻酔でチクッとする痛みを軽減

麻酔注射の前に、歯茎に塗るタイプの表面麻酔を使用します。歯茎にあらかじめ麻酔がかかるので、注射の針が刺さる痛みを軽減可能です。

表面麻酔をしっかりと行うと、その後注射器で注入する麻酔薬の量を減らせるのもメリット。麻酔液の量が少なければ、その分お身体への負担を抑えられます。

細い注射針で痛みを抑える

注射針はより細いほうが、刺された際の痛みが少なく感じます。そこで私たちは、極力細いものを採用しています。

麻酔液の温度にも配慮

麻酔液と体温の間に温度差があると、刺激や痛みを感じやすくなります。そこで麻酔液を体温と同じくらいまで温め、痛みを感じにくくしています。

注射を打つ位置を工夫

麻酔注射の針を刺す位置への配慮も欠かしません。具体的には、麻酔液が広がりやすい骨の密度が少ない箇所を選んで注射をします。

また、注射の後は時間をおいて十分に麻酔が効いてから治療を開始するようにしています。

なるべく削らない治療で
歯を長持ち

歯を一度削ると、元には戻りません。治療を繰り返すうち健康な歯の組織は段々なくなるため、なるべく削らないほうが歯を長持ちさせられます。

当院は「MI治療(ミニマルインターベンション)」に取り組んでいます。これは、虫歯の部分だけを取り除き、健康な歯の質を可能な限り温存する治療法です。私たちは患者さまの歯を守り、少しでも長持ちさせたいと考えています。

削りすぎを防ぐため、虫歯に侵された部分だけを識別する「う蝕検知液」、MI治療専用の極細の「バー(歯を削る器具)」を使用しています。

歯科用プラスチック
「コンポジットレジン」

虫歯を削ったあとの修復方法は、虫歯の位置や大きさによって複数の選択肢があります。

例えば虫歯が大きい場合や、歯と歯の間にまたがる場合など、症例によっては銀歯などの金属の詰め物を検討することも。銀歯の場合、外れにくくするために「歯に引っかかる形」を作る必要があり、健康な歯も一部削らなくてはなりません。

当院は、健康な歯をできるだけ残すことを大切にしており、条件が合う場合は白いプラスチック素材「コンポジットレジン」での修復を基本としています。これは必要な部分だけを削り歯を守る、MI治療に適した方法です。白い素材のため、お口の中で目立たず、金属アレルギーの心配もありません。

丁寧な根管治療で歯を守る

虫歯が重症化して神経まで病巣が達すると、「根管治療」という歯の根っこの治療をしなければいけません。根管治療は、根管に入り込んだ病巣を取り除く治療です。根管は歯の神経の通り道で、神経だけでなく血管も通っています。

病巣の取り残しや細菌感染があると、痛みが治まらなかったり、虫歯が再発したりすることも。場合によっては、歯を抜かなければいけなくなるケースもあり、病巣をどれだけしっかり取り除けるかが重要です。

しかし根管内部は管状で縫い針ほどの細さしかなく、担当する歯科医師には繊細な処置が求められます。

少しでも歯を長持ちさせられるよう、当院は丁寧な根管治療に努めています。精密な治療を追求し、手間を惜しまず真摯に施術。治療器具はできる限り使い捨てのものを使用し、常に清潔な器具を使用することで、細菌感染を徹底的に防いでいます。

また、再発しにくい根管治療を行うために、以下のさまざまな医療機器や器具を使用しています。

ニッケルチタンファイル

根管内部の病巣を取り除く際は、「ファイル」と呼ばれる道具を使用します。

一般的にはステンレス製のファイルが用いられますが、根管の形状には個人差があり、複雑な形をしている場合も少なくありません。ステンレス製は硬いため、曲がりくねった根管内部ではうまく機能しない場合があります。

そのため、当院ではニッケルチタン製のファイルを採用しています。ニッケルチタンファイルはステンレスファイルに比べ費用は高いものの、柔軟性があり複雑な形の根管でもしっかり治療できます。

根管長測定器の使用

根管の長さは人によってさまざまです。

当院では「根管長測定器」を使用し、肉眼では確認できない根管の長さをしっかりと測定。治療範囲を明確に把握することで、精密で確かな処置を心がけています。

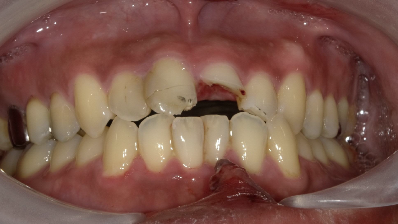
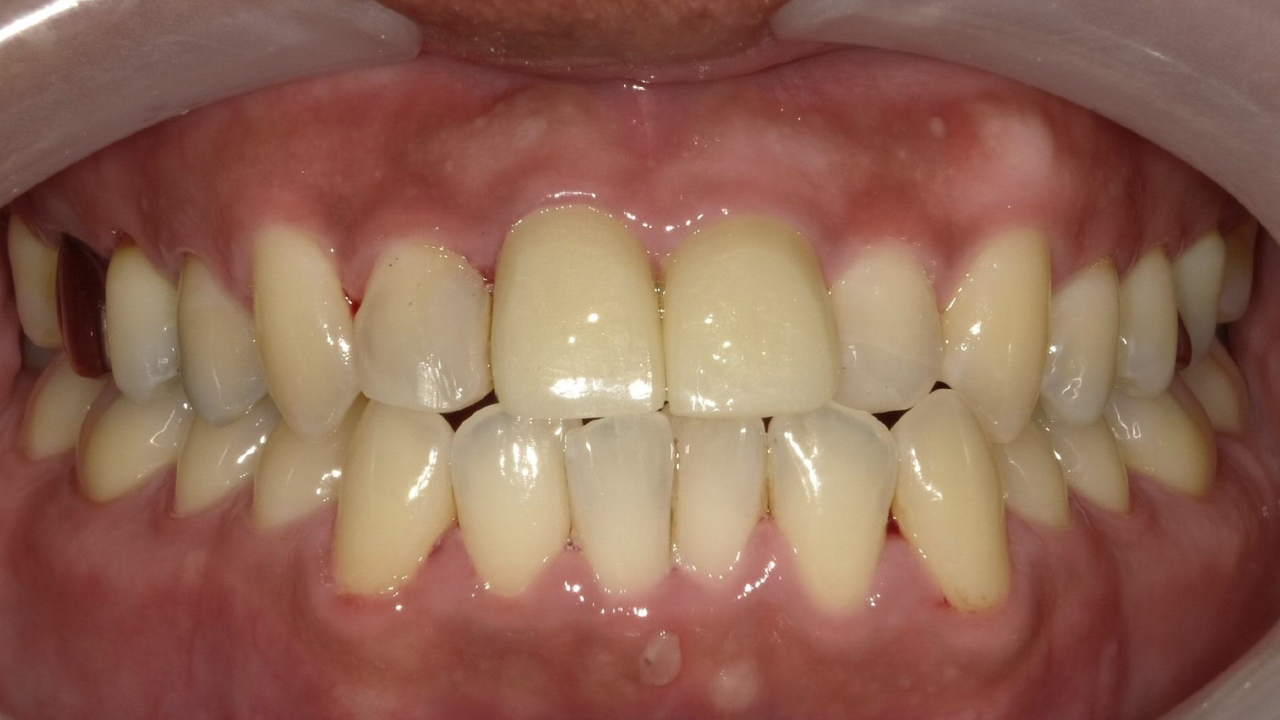
T・K様 男性 30代

Before

After

キックボードで転倒し前歯を受傷されました。上の前歯は2本とも歯冠が割れていて歯の神経が見えている状態でした。抜歯はせず、歯を出来る限り残した治療を予定しました。神経の治療後、審美的にジルコニアクラウンを希望されました。治療後は痛みもなく、見た目も綺麗で抜歯もせず治療ができたと大変満足されていました。

治療期間・回数:2か月、6回
治療の価格:ジルコニアクラウン ¥137,500(1歯) 
治療のリスクや副作用:保険適応外。特にジルコニアは硬度が高いため、素材の厚みを確保するために歯を多く削ることがある点がデメリットです。

虫歯治療の流れ

虫歯の検査

検査器具やレントゲンで、虫歯の進行度合いを調べます。

治療計画の説明

虫歯がどんな状態なのかをご説明し、治療計画をご案内します。

虫歯の部分を
取り除く

虫歯の病巣を取り除きます。歯の神経まで虫歯が達している場合は、神経の治療も行います。

詰め物や被せ物を装着

虫歯の進行度合いや大きさに応じて、詰め物や被せ物を装着します。

再発予防

虫歯を再発させないために、定期検診や歯のクリーニングを受けることをおすすめします。

検診・歯石とり・歯のクリーニング・フッ素塗布などもご予約いただけます。3か月先のご予約もお気軽にどうぞ。

079-277-0088

診療時間

 
午前 休診  ●/▲ 休診
午後 休診  ●/▲ 休診

午前:9:00~13:00
午後:14:00~18:00
▲訪問 ●外来

※受付は診療時間の30分前からです。
休診日:月曜・日曜・祝日

アクセス

079-277-0088

〒671-1511
兵庫県揖保郡太子町太田667-1 J'sガーデン103
JR「はりま勝原駅」よりタクシー約15分
JR「網干駅」よりタクシー約10分